Mini Brackets

Tube-type Onthodontic Mini Brackets

Make good use of our high-quality clear orthodontic mini brackets to straighten the diastema or crooked anterior or to adjust the spacing of teeth for prosthetic treatment.

Feature

Advantages of Clear Onthodontic Mini Brackets

Clear Mini Bracket

  • In case of straightening the diastema (open space between the teeth) or crooked anterior, clear mini bracket makes the treatment easier

  • In case of adjusting the interval of teeth for prosthetic treatment, these clear orthodontic mini brackets help.

  • The prosthetic treatment and used to anterior 3–3 without limit of buccal and lingual

Differentiated Technology

Mini brackets are smaller but stronger than traditional metal braces. Our unique and differentiated technology developed excellent clear mini brackets

TUBE-O-DONTICS® Mini Bracket

As applied our unique base shape of brackets, the drop of brackets is minimized by use of undercut and easier for debonding

Mini Bracket Stater Kit Appreance
Mini Bracket Stater Kit Case
Stater Kit
  • 2 mm Tubes, 60 Stk/pcs
  • 3 NITI wire, .008, .010, .012
  • 3 mm Tubes, 60 Stk/pcs
  • 1 Mini Bracket Tweezer

Clear Mini Bracket - Cases

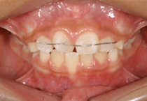
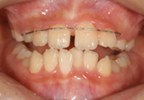
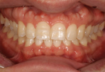
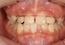
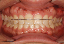
Anterior Crossbite

Case 1

Smile Line case 1 2022.06.14

2022.06.14

Smile Line case 1 2022.10.06

2022.10.06

Smile Line case 1 2023.02.07

2023.02.07

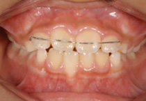
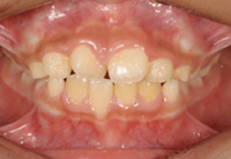
Case 2

Smile Line case 2 2022.08.28

2022.08.28

Smile Line case 2 2022.11.03

2022.11.03

Smile Line case 2 2022.11.24

2022.11.24

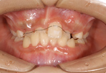
Space Closing

Case 3

Smile Line case 3 2022.06.14

2022.06.14

Smile Line case 3 2022.10.06

2022.10.06

Smile Line case 3 2023.02.07

2023.02.07

clear ceramic orthodontic brackets on teeth

Learn more about our enhanced clear orthodontic mini brackets.
Please feel free to contact us for further information.